Los problemas odontológicos pueden ser ocasionados por diversos motivos por lo que a veces un mismo problema puede solucionarse de maneras diferentes. Para darle una solución integral, le ofrecemos diversos tratamientos de odontología general en Villanueva del Pardillo para adaptarnos a sus necesidades.
Consulta siempre con expertos en odontología integral para un diagnóstico correcto.
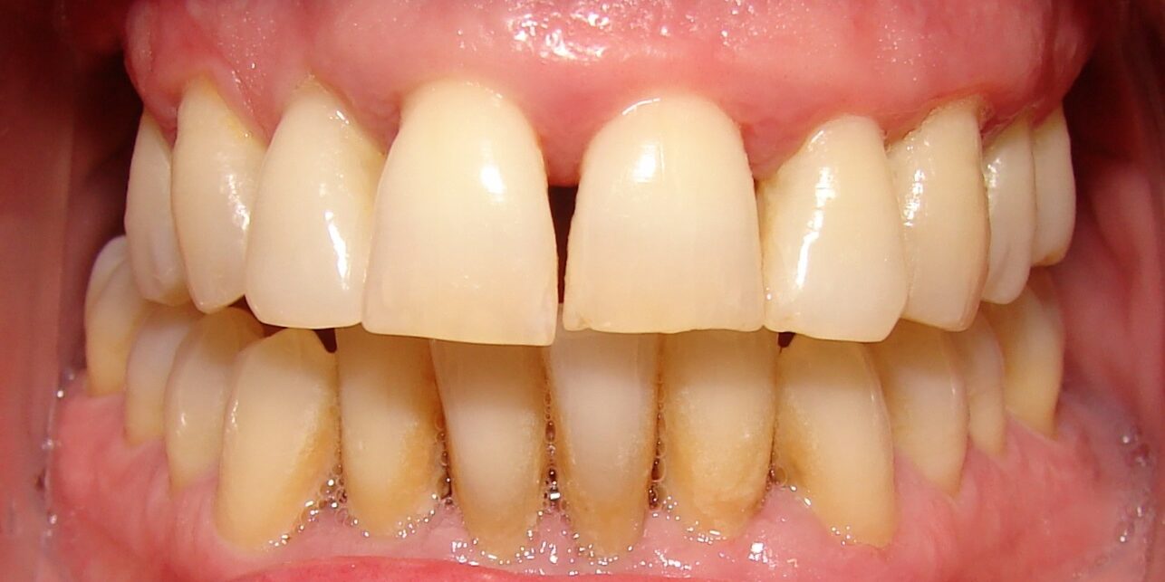
Se conoce como troneras a los huecos negros que se forman entre los dientes. El espacio interproximal, interdental o interdentario es el espacio que existe entre un diente y los demás, pero este puede ser natural o producido por un problema. La principal causa por la que aparecen troneras es la enfermedad periodontal, que son aquellas que afectan a las encías. Por ejemplo, la periodontitis, una infección causada en la mayoría de casos por la placa bacteriana acumulada en la boca. La acumulación de placa es debida, en la mayoría de las situaciones, a un descuido de la higiene bucodental.
No obstante, existe la posibilidad de que estos huecos aparezcan debido a nuestra distribución dental, es decir, que no vienen provocados de por otras patologías sino que naturalmente nuestros dientes tienen una forma natural triangular que permite que haya huecos a pesar de que estén perfectamente alineados. En este caso, el tratamiento a seguir sería un tratamiento ortodóncico si los dientes no están bien alineados, rehabilitación oral utilizando carillas que cubran los huecos o rehabilitación oral con composite. Cada problema dental es un mundo y son estos pequeños detalles los que hacen que siempre sea necesario consultar con expertos en odontología general, como los que encontrará en nuestra clínica dental en Villanueva del Pardillo, capaces de diferenciar una causa patológica de una natural y dar solución a tus problemas. 
En ocasiones, estos huecos aparecen debido un tratamiento de ortodoncia, en esta situación, el ortodoncista realizará un estudio sobre la posibilidad de realizar un stripping durante el tratamiento. Un stripping consiste en eliminar una pequeña parte del esmalte interdental (entre 0,2 y 0,5 mm) donde se encuentre la tronera y posteriormente cerrar ese hueco mediante la ortodoncia.
Para cerrar ese hueco también se colocan varias láminas finas de resina compuesta sobre el diente. Así se da forma a los dientes en los que se aplica, para hacerlos equivalentes en tamaño y forma al resto del conjunto, y conseguir, de esta manera, un resultado óptimo tanto estética como funcionalmente. Cuando visite nuestra clínica, uno de nuestros expertos en odontología, le indicará los cuidados oportunos para las carillas de composite, que son parecidos al cuidado normal de los dientes, debiendo tener hábitos de higiene correctos y reducir el consumo de tabaco, café y vino.







